脳ドックは、症状がない段階で脳や血管の状態を確認し、脳卒中などのリスク把握に役立てる検査です。MRI/MRAによる画像検査を中心に、無症候性脳梗塞や未破裂脳動脈瘤、血管の狭窄などの所見がないかを確認します。結果は生活習慣の見直しや受診計画づくりの参考になります。不安がある方は、まずはお気軽にご相談ください。

電話で予約される方
脳ドックは、無症状の方を対象にMRI/MRAの画像検査を中心として、脳や脳血管の異常、またはそのリスクにつながる所見を確認する検査です。結果を踏まえ、必要に応じて外来受診や追加検査をご案内し、今後の健康管理に活かします。
脳ドックでわかること

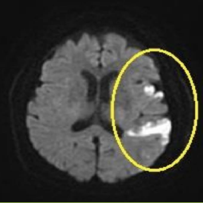
脳梗塞

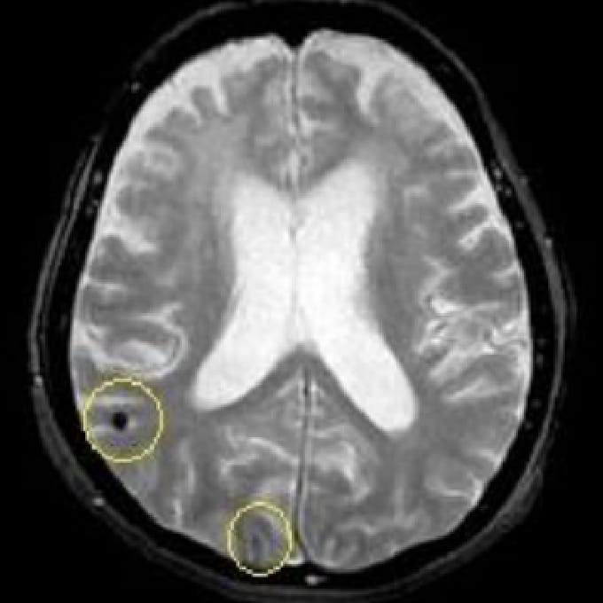
微小出血

脳動脈瘤

頸動脈狭窄

脳腫瘍

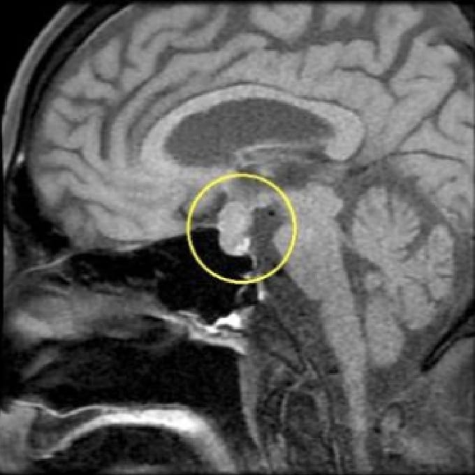
下垂体腫瘍
MRIは、脳の断面画像を撮影し、脳そのものの状態を確認する検査です。X線を使用せず、脳梗塞の痕跡(無症候性を含む)や出血の跡、腫瘍などの異常がないかを調べます。MRAはMRIの撮影法の一つで、脳や頸部の血管を画像として写し出し、血管の形や流れの状態を確認する検査です。未破裂脳動脈瘤の疑い、血管の狭窄・閉塞など、脳卒中リスクにつながる所見の確認に役立ちます。

当院の脳ドックは、頭頸部MRI/MRAによる画像検査を中心に実施します。撮影時間は約20分で、脳と血管の状態を確認します。検査内容の詳細や当日の注意点は、予約時に分かりやすくご案内します。不明点がある場合はお気軽にご相談ください。
検査項目
頭頸部 MRI/MRA
検査時間
約20分
料金
22,000円
脳ドックは曜日・時間帯ごとに実施枠を設けています。
ペア枠とは、二人1組(例:夫婦・兄弟姉妹など)の予約枠となります。表の時間枠での受診が難しい場合も、可能な範囲で調整できることがありますので、まずはお電話でお問い合わせください。
電話で予約される方
当日は何分前に行けば良いですか?
受付や安全確認があるため、予約時間の15分前にご来院ください。具体的な来院目安は予約確定後の案内に沿ってお越しください。
服装や持ち物は何を準備すれば良いですか?
金属類(アクセサリー、時計など)は外していただきます。お薬手帳をお持ちの方はご持参ください。その他、必要な持ち物は予約時にご案内します。
コンタクトレンズやヒートテックは着用したままで大丈夫ですか?
物によっては外していただく場合があります。来院後にスタッフが確認しますので、心配な点は予約時にご相談ください。
小さい子どもを連れて行ってもいいですか?
検査中の安全確保のため、状況により調整が必要です。事前にお電話でご相談ください。
申込み後の変更・キャンセルはできますか?
可能です。準備の都合がありますので、分かり次第なるべく早めにご連絡ください